Our Solution

Introducing a wearable headset that brings science-backed ultrasound therapy into patients' homes

Treating cognitive decline non-invasively

No implants, no surgery, no drugs. You don't hear it or feel it, but your brain does. tFUS has been used safely in research and clinical settings for years, with an established safety profile.

SAFE

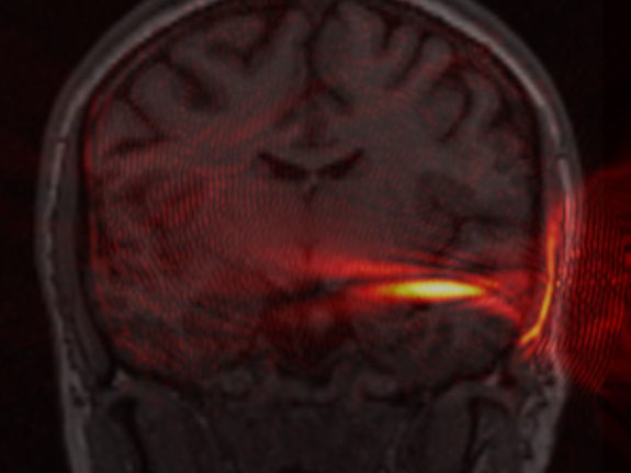
Millimeter-level accuracy. Every session is tailored to the patient’s unique brain anatomy.

PRECISE

We can predict targeting without MRI or bulky imaging equipment, so ReNeu can be used at home. Treatment fits seamlessly into patients’ daily routine. No hospital visits, no disruption to daily life.

PORTABLE